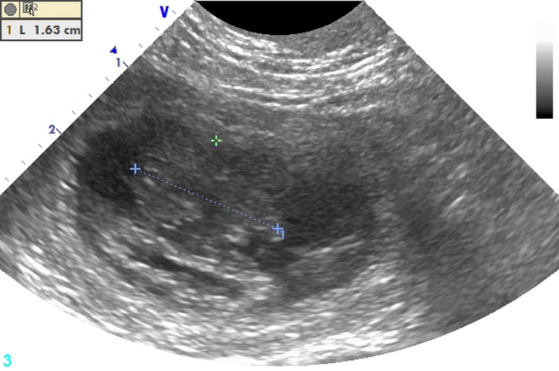
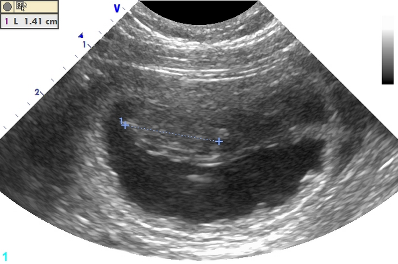
Ice a eu sa visite chez notre vétérinaire : Au moins 6 chiots vus à l’échographie, des bébés attendus pour les environs du 26 Janvier, et une maman en pleine forme qui s’arrondit à vue d’œil !
Le 28 Novembre 2016, Ice a été saillie par notre beau Boss, les petits devraient être disponibles fin mars 2016.
Nous attendons de ce mariage des chiots de couleur fauve charbonné comme la portée 2015. Tous les chiots sont réservés.
- Boss
- Boss







